Quando stai per finire una dura nottata di lavoro in pronto soccorso, arriva puntuale il paziente delle 6.30 del mattino.
Orario prognosticamente negativo per i pazienti.
Medico stanco, cambio turno infermieristico … ma questo, i pazienti non lo sanno.
Il signore poi inizia a raccontarti dell’anatra del giorno prima, che si è sbafato quasi intera durante il pranzo luculliano domenicale.
Dopo il pasto, ha iniziato ad avere fastidio a deglutire, sensazione di corpo estraneo in gola e, dalle 23, a lamentare senso di peso toracico anteriore e dorsalgia.
Dai su, svegliamoci – dici a te stessa. L’ultimo sforzo prima dello smonto notte.
In fondo, è sempre un codice giallo (dolore toracico in atto) e merita tutta la tua attenzione.
Parametri vitali nella norma, Esame obiettivo nella noma, ECG nella norma, eco torace: regolare fisionomia pleuroparenchimale bilaterale, eco cuore in urgenza: cinetica bicentricolare regolare; gli fai eseguire un RX torace: negativo, degli es. ematochimici nella norma (inclusa la PCR di 4,4 mg/L).
Pensando di aver escluso le cause principali e più temibili di dolore toracico , ti concentri sulla sensazione dell’intoppo in gola e sull’anamnesi dell’anatra del giorno prima, e lo invii in consulenza ORL pensando che il collega – con tutta probabilità – troverà causa e soluzione del problema.
Smonti notte, lasci consegne e te ne vai.
Il collega otorino, esegue la fibrolaringoscopia : “cavo orale: nulla di rilevante, non evidenza di corpo estraneo a livello ipofaringeo”. Consiglia EGDS se persistenza dei sintomi. Sono ormai le 9.30 del mattino. Il paziente, forse stanco anche lui, forse sufficientemente soddisfatto dal numero di esami fatti, torna a casa senza passare dal pronto soccorso.
Eppure il paziente in PS ci torna. Il giorno dopo, verso le 11. I sintomi sono analoghi a quelli del giorno prima, anzi un po’ peggiorati, con sensazione di intoppo in gola, odinofagia, impossibilità ad alimentarsi e inoltre, nella notte, è comparsa febbre (37.8-37.9)
Parametri vitali sempre stabili. Esame obiettivo sempre negativo. Ripete RX torace sempre negativo. Esegue esami ematochimici … PCR salita a 110 mg/l.
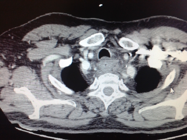
A questo punto si richiede EGDS, eseguita previa intubazione oro tracheale per protezione delle vie aeree. Il collega gastroenterologo individua in prossimità dello sfintere esofageo superiore “corpo estraneo complesso perché composto da fibre carnee e possibile componente ossea/rigida. Si visualizzano segni di decubito con approfondimento del corpo estraneo nella mucosa esofagea…. si continua –rimuovendo alcuni tralci carnei…successivamente si visualizza finalmente la parte cartilaginea/ossea con punta infissa nella mucosa esofagea …” Si rimuove e si recupera l’osso tagliente – appuntito ad entrambi gli estremi – di 3 cm di lunghezza. All’ispezione dell’esofago immediatamente successiva, visibile fuoriuscita di minima quantità di pus dalle due aree di decubito.

A questo punto il quadro diventa più chiaro… odinofagia, disfagia, febbre, dolore toracico, l’anatra, l’osso appuntito, la lacerazione esofagea … chiediamo subito una TAC collo – torace: “..a livello dello stretto toracico superiore risulta ispessita con scarsa definizione la parete esterna esofagea con soffusione del grasso circostante e presenza di tre bolle aeree periferiche…”.

La vendetta dell’anatra porta il paziente a essere trasferito in chirurgia con diagnosi di: “MEDIASTINITE DA PERFORAZIONE ESOFAGEA DA CORPO ESTRANEO”.
Prendendo spunto da questo caso, sono andata a rivedermi le linee guida pubblicate nel 2011 dall’ America Society for Gastrointestinal Endoscopy per il management dell’ingestione dei corpi estranei, focalizzando sui corpi estranei analoghi a quello del nostro caso (bolo carneo con possibilità di ossi taglienti) in sede esofagea.
I pazienti più a rischio di corpo estraneo sono i bambini e i pazienti anziani edentuli o con deficit cognitivo.
I corpi estranei più frequenti sono le spine di pesce/ossa di pollo, monete, dentiere, pacchetti di droghe.
Le sedi di stop del corpo estraneo a livello esofageo sono rappresentate dalle sedi fisiologiche di restringimento : lo sfintere esofageo superiore, a livello dell’arco aortico, lo iato diaframmatico.
La presentazione clinica tipica è la comparsa acuta di disfagia o di incapacità completa a deglutire la saliva: quest’ultimo sintomo è molto importante in quanto è espressione di ostruzione totale. Altri sintomi sono: scialorrea, distress respiratorio, peso retro sternale e occasionalmente odinofagia. Quest’ultima spesso suggerisce lacerazione o perforazione.
Per quanto concerne la diagnosi, è importante evidenziare il corpo estraneo radiologicamente. Ci sono tuttavia corpi estranei non visibili radiologicamente (come le spine di pesce o le ossa).
La localizzazione e l’identificazione radiografica dei corpi estranei in esofago deve essere effettuata prima di qualsiasi tentativo di estrazione del corpo estraneo, in quanto influenzerà l’approccio endoscopico.
Pertanto se l’RX è negativo, può essere utile l’esecuzione di una TC.
Specie in casi di corpo estraneo appuntito/tagliente, se il risultato di un’iniziale ispezione di oro- e ipofaringe è negativa, è indicata la TC come primo esame per una miglior diagnosi e management del percorso diagnostico/terapeutico.
In pazienti con sintomi esofagei persistenti, una valutazione endoscopica dovrebbe essere effettuata anche se gli accertamenti radiologici sono negativi.
Solo in pazienti con sospetto bolo alimentare/carneo privo di ossa e senza evidenza di complicazioni, può essere eseguita l’endoscopia senza ottenere prima un’indagine radiologica.
In nessun caso un corpo estraneo dovrebbe rimanere in esofago oltre le 24 ore dalla presentazione.
Endoscopia immediata se:
– Ostruzione esofagea – batterie in esofago – oggetti appuntiti in esofago
Endoscopia urgente (entro 24 ore) se:
– Corpi estranei esofagei non appuntiti
– Bolo carneo con ostruzione completa
– Oggetti appuntiti nello stomaco/duodeno
– Oggetti >6 cm di lunghezza nel duodeno prossimale
– Magneti
Endoscopia non urgente:
– Monete nell’esofago possono essere osservate per 12-24 ore in paziente asintomatico
– Oggetti smussi nello stomaco con diametro > 2,5 cm
– Batterie tonde o cilindriche nello stomaco possono essere osservate per 48 ore se non vi son segni di danno gastroenterico
– Oggetti smussi che non superano lo stomaco entro 3-4 settimane
Nell’esecuzione dell’EGDS, se il corpo estraneo si trova nell’esofago superiore, è preferibile proteggere le vie aeree con intubazione oro tracheale.
Per quanto concerne il bolo alimentare, se comporta ostruzione totale richiede intervento immediato.
Se non causa ostruzione completa, deve essere rimosso entro le 24 ore secondo le linee guida. E’ preferibile tuttavia rimuoverlo entro le 12 ore per evitare aspirazione nelle vie aeree.
Per quanto concerne gli oggetti appuntiti conficcati in esofago, il trattamento di scelta è endoscopico se la durata è inferiore alle 24 ore e se non ci sono ascessi esterni alla parete esofagea o segni di perforazione esofagea (es. pneumomediastino) alla TC. Se vi sono tali elementi, l’approccio è chirurgico.
Spero che questo post sia stato utile nel fornire qualche indicazione in più su come gestire i nostri pazienti onnivori. Ricordiamoci però che la cosa più importante è prevenire: quindi occhio a come/cosa si mangia e fissate bene le dentiere !


Lascia un commento