In ogni gruppo di lavoro, c’è chi ha le sue specialità.
In pronto soccorso noi abbiamo il nostro cacciatore di aorte. Ha un fiuto eccezionale. Le becca tutte. Ti chiedi allora se le aorte vanno tutte da lui, o se sono a noi altri che sfuggono.. E questa seconda ipotesi mi fa piuttosto inquietare.
Comunque… veniamo al caso.
Uomo maschio, di 50 anni. Si presenta in PS alle 19 di sera per comparsa improvvisa di un forte dolore toracico interscapolare. Dolore molto forte, mai avuto prima. Arriva sudato e sofferente.
Codice giallo naturalmente.
Come da linee guida, gli fai un tracciato ECG entro 10 minuti dall’arrivo in PS. Noi siamo ancora più bravi, dopo 3 minuti glielo avevamo già fatto. ECG completamente nella norma.
Cavolo, avresti scommesso per un IMA.
Il tracciato normale un po’ ti rassicura. E già qua sbagli. Mai farsi rassicurare da un esame negativo (a meno che tu non gli abbia fatto tutti gli esami possibili e immaginabili).
Solo l’aspetto clinico del paziente può rassicurarci. Avete presente quelli che arrivano in pronto soccorso per qualsiasi motivo e stanno distesi sul lettino con gambe accavallate a giocare a Candy Crash? Ecco, quelli mi rassicurano. Invece l’aspetto di questo signore non tanto.
Sofferente, sudato. Valori pressori alle stelle (220/130). Secondari al dolore o primum movens? SO2 100%, FC 90 bpm. Esame obiettivo sostanzialmente nella norma.
Mentre prosegui con gli accertamenti, inizi a trattarlo. Sempre importante il controllo rapido del dolore. E in questo caso anche della pressione arteriosa … ma non diamo anticipazioni.
Morfina 3 mg ev bolo. Ripeti dopo 5 min altri 3 mg ev. e così avanti. Parziale beneficio. I valori pressori rimangono molto elevati (200/100). Inizi con 20 mg labetololo ev. E continui la visita.
Ecografia bed-side. Grande strumento. Eco torace: regolare fisionomia pleuroparenchimale bilaterale. Ecocardio in urg: regolare cinetica bi ventricolare. Atri regolari. Non difetti valvolari. Non versamento pericardico. Aorta ascendente regolare. Ti tranquillizzi un po’di nuovo. Hai escluso PNX, tamponamento cardiaco, pericardite (ECG normale, intanto arrivano gli esami che risultano perfettamente nella norma), embolia polmonare (EGA perfetto, non alterazioni cuore destro..), dissecazione aorta ascendente, sdr coronarica acuta (ECG nella norma, 1^ troponina negativa, cinetica cardiaca regolare a fronte di dolore cosi persistente). Certo, per escluderle del tutto dovrai rivalutare il paziente, eseguire altre determinazioni di troponina, ECG seriati … però è già un buon inizio.

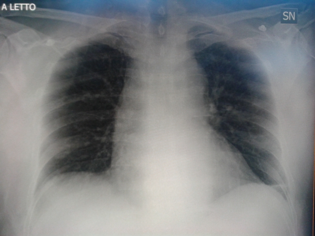
Placato il dolore, gli fai eseguire in RX torace. Lo fa da disteso. E’ stata appena fatta della morfina, è ancora un po’ sofferente, non ci fidiamo a farlo alzare. Forse se l’avesse fatto da in piedi, magari anche con proiezione laterale, ci avrebbe detto di più, o forse (e probabilmente) no. Comunque date un occhio alla radiografia del torace e giudicate voi. Ora PA 190/100. Altri 20 mg labetalolo. Prosegui con boli di labetalolo ev. Si monitorizza il paziente continuando a correggere i valori pressori e a controllare il dolore. PA 140/90.
Fatto tutto questo, sono arrivate le 20. E’ arrivato il tuo cambio. Il medico notturno. E arriva proprio lui, il cacciatore di aorte. Ma tu sei tranquilla. Preparata. L’aorta ascendente in eco la vedevi bene …però …però .. se c’è il cacciatore di aorte potrebbe esserci una sdr aortica acuta nei paraggi… gli dai consegne, ti giri …e il paziente è già in TC per eseguire TC torace-addome con mdc: “si evidenzia la presenza di ematoma aortico intramurale di tipo B a partenza dall’arco senza coinvolgimento dei vasi sovraortici, con spessore di circa 8 mm, a tutto spessore nel primo tratto della discendente mentre nel secondo tratto anteriore, si regolarizza appena al di sopra dell’emergenza del tripode”.
Contatti l’ospedale di riferimento per centralizzarlo con diagnosi di : “EMATOMA INTRAMURALE AORCO ARTICO E AORTA DISCENDENTE”
Della dissecazione aortica di sicuro sapete già tutto. Quindi cercherò di centrare l’attenzione sugli elementi più specifici di questo caso, ovvero la dissecazione di tipo B, le possibili varianti della dissecazione aortica (tra cui appunto l’ematoma intramurale) e la terapia medica in acuto appropriata.
Per la classificazione della dissezione aortica, si possono utilizzare due tipi di sistemi: il DeBakey e lo Stanford. Il più utilizzato (e più semplice) è quest’ultimo che le suddivide in tipo A se coinvolgono l’aorta ascendente e in tipo B tutte le altre (come quella del nostro caso). Nella classificazione di DeBakey, sarebbe invece III a.
Diverse sono le condizioni mediche ad alto rischio per dissezione aortica: nel nostro caso, sicuramente ha fatto da padrona l’ipertensione arteriosa (rialzo brusco, severo, transitorio). Solo per citare alcune altre condizioni: sdr marfan, aorta bicupside, aneurisma aortico, condizioni infiammatorie, chirurgia o traumi.
Possibili varianti della dissezione aortica sono le seguenti:
– Lacerazione intimale senza ematoma: variante poco comune, caratterizzata da lacerazione dell’intima associata all’esposizione della sottostante media o avventizia dell’aorta ma senza separazione degli strati della parete aortica ne separazione.
– Ulcerazione aortica penetrante, generalmente associata a presenza di placca aterosclerotica (2-7% delle sdr aortiche acute)
– Ematoma aortico intramurale (eccoci a noi): è definito come un ematoma confinato nella tonaca media dell’aorta in assenza di una visibile lesione intimale, sebbene in realtà possano esserci microlesioni. L’assenza di lesione intimale lo differenzia dall’ematoma che si può riscontrare in corso di ulcera aortica penetrante in cui c’è la rottura dell’intima. Ematoma intramurale aortico può essere precursore di una dissezione aortica acuta. E’ responsabile di circa il 5-20% dei pazienti con sintomi compatibili con dissezione aortica acuta. Non è ben noto i meccanismo con cui si crea l’ematoma intramurale. Descritta come possibile causa la rottura spontanea dei vasa vasorum. Alcuni pensano invece che l’ematoma intramurale rappresenti una dissezione aortica acuta con trombosi del falso lume e dove la lesione dell’intima sia sempre presente anche se non identificata. In questa varianti comunque, la media più esterna è più sottile, il che spiegherebbe il più alto rischio di rottura aortica rispetto alla dissezione aortica classica. Tra l’8 e il 16% evolve invece verso la dissezione aortica classica.
– Ematoma periartico: rappresenta una rottura aortica contenuta.
Per quanto concerne il trattamento, la terapia del tipo A è assolutamente di tipo chirurgica (il medical management è riservato escusivamente a quei pazienti che non sopravviverebbero all’intervento);
al contrario, le sindromi aortiche acute di tipo B possono essere gestite generalmente con terapia medica, mentre la chirurgia è riservata ai quei pazienti con complicazioni o sintomi progressivi.
La terapia medica in acuto comprende il controllo antalgico (oppiodi ev) e la terapia “anti-impulse” (scusate, ma non trovo termine italiano adeguato per la traduzione, per una volta il termine inglese mi pare assai efficace), al fine di controllare la pressione arteriosa in modo tale da minimizzare il rischio di rottura o di progressione, a meno che non sia presente ipotensione. Dovrebbe essere iniziata immediatamente una volta fatta la diagnosi ma non deve in nessun modo ritardare il trasferimento del paziente in sala operatoria dove indicato.
Terapia anti-impulse: la PA sistolica dovrebbe essere ridotta al più basso livello possibile tollerato dal paziente senza compromissione dello stato mentale nè dell’output urinario, generalmente tra 100 e 120 mmHg. Il trattamento iniziale consiste in betabloccanti ev in modo da ridurre la FC sotto i 60 bpm.
Può essere utilizzato propanololo (carico da 1 a 10 mg, seguito da infusione di 3 mg/ora)
o labetalolo (bolo di 20 mg ev inizialmente, poi boli successivi dai 20 agli 80 mg ogni 10 minuti fino a dose totale di 300 mg; oppure come infusione 0,5 a 2 mg/min).
Se con il betablocco la pressione arteriosa rimane elevata, può essere aggiunto il nitroprussiato in modo tale da raggiungere una PA sistolica tra i 100 e i 120 bpm. La dose iniziale di nitroprussiato è 0,25 a 0,5 mcg/kg per minuto. Il nitroprussiato non deve essere mai usato senza prima aver effettuato il betablocco! (la vasodilatazione potrebbe indurre attivazione riflessa del sistema nervoso del simpatico con peggioramento del quadro).
Sperando di avervi dato qualche informazione utile, vi saluto. Al prossimo caso.


Lascia un commento