Paziente di 90 anni. Residente in casa di riposo. Sempre lo stesso ambiente, gli stessi muri, le stessi voci. Giustamente il medico curante decide di fargli fare un giretto in ambulanza. Così, per svagarsi un po’.
Vediamo, dove potrebbe andare..la primavera è alle porte, gita fuoriporta, Bosco Romagno, Cascate di Kot, San Giovanni D’Antro … no, dai, non esageriamo, è pur sempre una 90enne, quindi optiamo per una meta più vicina e più consona all’età. L’ospedale.
Un bel giretto in ambulanza fino in ospedale.
A fare cosa? … mm… vediamo..ah si, è mesi che si lamenta di algie addominali, un’ecografia addominale fa sempre bene. Ok. Programmato trasporto in ambulanza, direzione ospedale più vicino, ambulatorio ecografico.
I barellieri la depositano sulla barella, ed ecco la paziente mi vede. Faccia delusa. Sperava in un bel giovanotto. Vabbè signora .. già ha preso una boccata d’aria, ora non pretenda troppo.
Quesito: algie addominali. Sonda convex. L’appoggio sull’addome né grasso né magro e vedo una grande palla. O massa. O tumefazione. Mmmm … onestamente non capisco. E’enorme. 15 cm di diametro trasverso circa direi. E’ vascolarizzata? Onestamente il colore spara ovunque … ipo/anecogena, ha qualcosa all’interno…cerchiamo l’aorta …cerchiamo qualcosa…aiuto! Ricominciamo. Non è parenchimatosa. Rene, fegato, vescica sono a posto. Milza tutto sommato anche. Aorta boh..non la vedo…o è l’aorta? C’è qualcosa dentro … vabbe dai, riprendiamo l’anamnesi.
Donna di 90 anni. Demenza senile. Sdr da allettamento. Cardiopatia ischemica. Diabete mellito tipo 2. BPCO con frequenti riacutizzazioni. Pregressa TEA carotidea. Portatrice di endoprotesi aortica-bisiliaca posizionata nel 2006. Osteopo…. Stop. Fermiamoci prima. Endoprotesi aortica … eccoci qua. Diciamo che c’è qualcosa che non va.
Con tale quesito (c’è qualcosa che non va all’aorta), visto anche che il motivo dell’accesso erano le algie addominali (si..ok..da anni…ma su qualcosa devo pur far pressione sul radiologo perché me la faccia urgente…) alzo la cornetta e chiedo al radiologo di eseguirmi una TC addome con mdc urgente per studio dell’aorta addominale in paziente portatrice di endoprotesi aortica e bisiliaca con algie addominali.
Quando glielo chiedi gentilmente – e fornisci loro termini clinici strani, score inesistenti, etc su cui non si raccapezzano, è difficile che ti dicano di no.
Per fortuna, tra le mille problematiche della paziente, non ha ne storia di allergia né nefropatia (magari poi un’altra volta parliamo di questo falso mito della nefropatia da mdc).
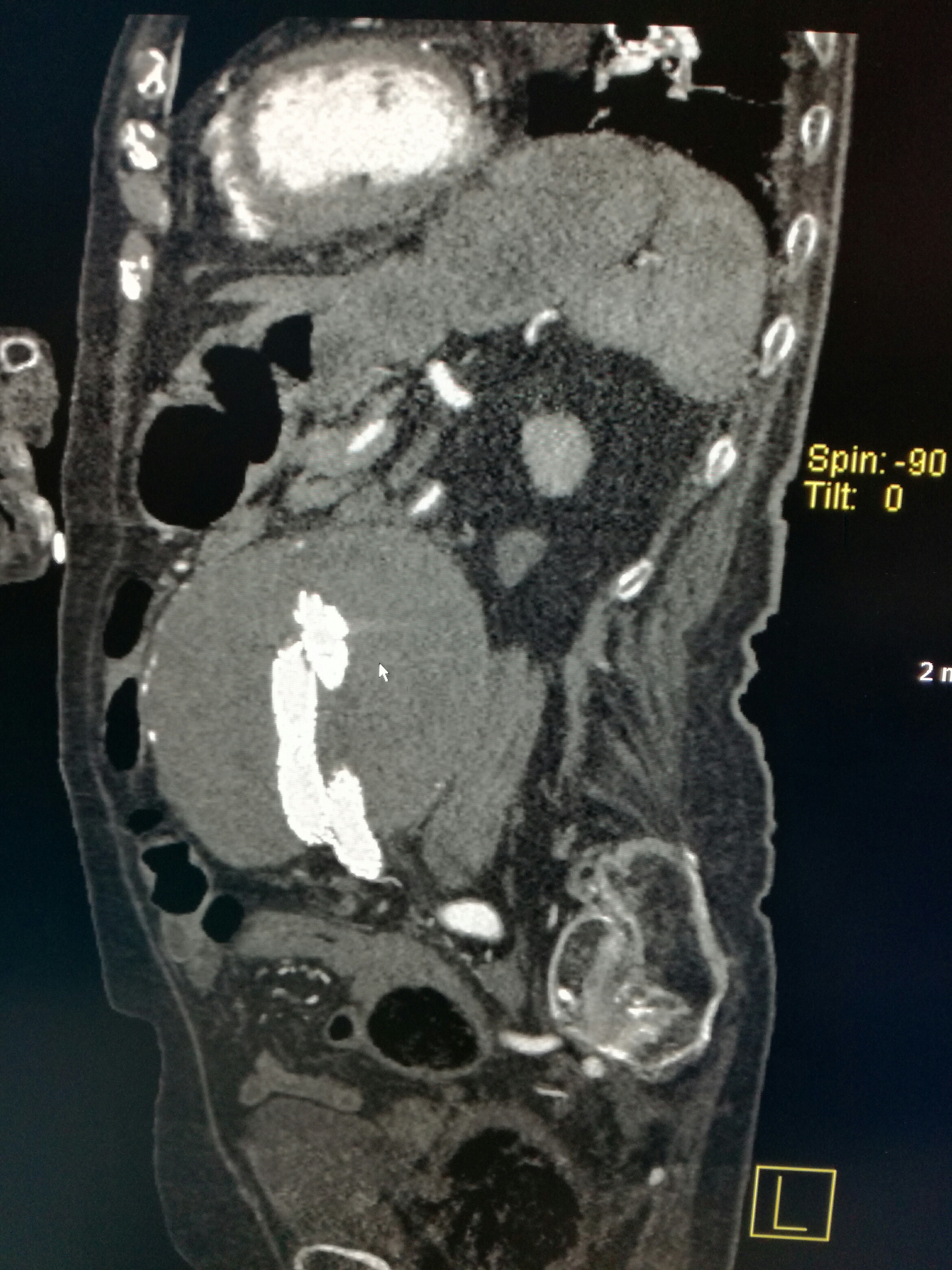
Ecco qua sotto le immagini impressionanti di ciò che troviamo in TC.
Cioè: “Presenza di sacca aneurismatica con diametro massimo trasverso di 15 cm con componenti iperdense all’interno già in fase diretta; dopo contrasto si osserva endoleak periprotesico distale di tipo III in corrispondenza della protesi iliaca destra; concomita aspetto ipertrofico di arteria lombare che sembra portarsi nella sacca aneurismatica sospetto per endoleak periprotesico di tipo II. Pervietà delle protesi e degli assi vascolari a monte e a valle della stessa.

Dunque ora cosa facciamo… Sacca aneurismatica instabile. Intervento chirurgico troppo rischioso per una persona così fragile e con molteplici comorbidità. I familiari ne sono consapevoli e concordano nel non fare nulla. La gita fuori porta si è conclusa con una brutta notizia in più.
Ma ora parliamo un’attimo di aneurisma dell’aorta addominale infrarenale: quali sono le indicazioni delle linee guida e poi vediamo un attimo cosa sono questi endoleak,.
Innanzitutto…prevenire? Si ma come?
Lo screening mediante ultrasuoni per la diagnosi precoce di AAA è raccomandato nei soggetti di sesso maschile di età maggiore ai 65 anni, mentre nei soggetti femminili può essere suggerito nelle fumatrici di età superiore ai 65 anni; inoltre può essere richiesto indipendentemente dall’età in particolari sottogruppi ad alto rischio (fumatori, familiarità per AAA)
Per i soggetti con riscontro di AAA con diametro compreso tra 3 e 5,5 cm, è indicata sorveglianza con indagini non invasive.
La frequenza dei programmi di sorveglianza mediante ecodoppler (o TAC solo nei casi dubbi) per AAA fusiforme di calibro inferiori a 5,5 cm è indicata a intervallo inversamente proporzionale all’aumentare del calibro dell’aneurisma stesso:
- è indicato effettuare un controllo doppler almeno ogni 2 anni se calibro è inferiore a 4 cm .
- In caso di AAA di calibro compreso tra 4 e 5,4 cm è indicato un controllo di sorveglianza più stretto, ogni 6-12 mesi, considerando l’intervallo non superiori a 6 mesi se il diametro è già superiore ai 5 cm .
Nei pazienti con AAA, che è da considerarsi arteriopatico polidistrettuale, è indicata la terapia con:
antiaggregante piastrinico a basso dosaggio, statina e farmaci antipertensivi.
Quando operare?
- In caso di AAA fusiforme maggiore o uguale ai 5,5 cm e/o aneurisma iliaco maggiore o uguale 3 cm, è indicato l’intervento di riparazione in elezione.
- In caso di AAA fusiformi di calibro tra 5 e 5,4 cm può essere indicato l’intervento di riparazione in elezione specie se il soggetto è di sesso femminile, non vi sono comorbidità importanti, in assenza di alto rischio periprocedurale e se l’aspettativa di vita è superiore ai 3 anni.
- L’intervento può essere considerato anche tra i 4 e i 4,9 cm se vi è stato un incremento progressivo rapido del calibro.
- La tipologia sacciforme dell’AAA, valutando caso per caso, può comportare l’indicazione all’intervento di riparazione anche per calibri inferiori rispetto al fusiforme
Quando si pensa di operare, che esame gli faccio?
Certo l’ecocolordoppler è l’esame di elezione per la diagnosi e per il follow up del paziente con AAA, ma il gold standard per il planning pre-operatorio è l’angioTAC o l’angioRM.
Il trattamento può essere effettuato sia per via chirurgica che endovascolare (EVAR): l’importante è che il centro dove viene effettuato abbia una casistica adeguata con una mortalità open inferiore al 5% e EVAR inferiore al 3%, ne va inoltre discusso con il paziente parlando dei rischi/benefici/follow up. In ogni caso, se il paziente è ad alto rischio cardiaco, di sicuro è preferibile l’EVAR rispetto alla chirurgia.
E una volta messa la protesi endovascolare che dobbiamo fare? Attendere i 90 anni come la signora?
Diciamo che il posizionamento con successo di un’endoprotesi comporta l’esclusione della sacca aneurismatica da qualsiasi rifornimento ematico, con conseguente detenzione e perdita di pulsatilità, rimaneggiamento del trombo endoluminale, formatosi in precedenza all’interno della sacca, e successiva riduzione dei diametri. La mancata riduzione degli stessi, il persistere di una pulsazione, e/o la presenza di “endotension” (White GH), sono espressione di un rifornimento della sacca da parte di sangue pulsante, fenomeno che va sotto il nome di “endoleak”.
Gli endoleak sono suddivisi secondo la classificazione di White (White GH) in quattro tipi:
- TIPO I : mancata o incompleta espansione degli stent di ancoraggio, prossimamente a livello del colletto aortico e/o distalmente a livello degli assi iliaci.
- TIPO II : rifornimento della sacca ad opera di vasi da essa emergenti, con inversione di flusso (lombari, mesenterica inferiore, renali accessorie).
- TIPO III: perdita di coesione delle componenti strutturali dell’endoprotesi (cuffie di estensione, branche per gli assi iliaci)
- TIPO IV: permeabilizzazione o rottura della parete dell’endoprotesi.
La nostra signora presentava ben due tipi di endoleak differenti.
Con quali esami controlliamo dunque la nostra protesi?
L’angioTC è l’esame gold-standard nel controllo dei pazienti portatori di endoprotesi. Va effettuato nell’immediato decorso postoperatorio e quando vengano rilevate complicanze legate all’endoprotesi. (Raccomandazione 1 – 1 Grado A)
L’ECD è il mezzo di indagine da utilizzare in associazione all’AngioTC nell’immediato decorso postoperatorio e “da solo” nel corso del follow-up in tutti quei casi in cui non si evidenzino complicanze o l’indagine ultrasonografica risulta ottimale e completa. (Raccomandazione 1 – 2 Grado B)
Sperando di essere stata un po’ utile, qua vi saluto. Endoclick.
Bibliografia
Linee Guida SICVE 2015 sulla patologia aneurismatica dell’aorta infrarenale
SIDV (società italiana di diagnostica vascolare) – Linee Guida Controllo Endoprotesi


Lascia un commento