Socrate diceva che l’uomo saggio muore quando deve, non quando può.
E la nostra vecchiettina di 89 anni ancora non deve.
Vive nel classico paesino friulano, in una grande casa con stalla e animali. Minuta, magretta. Forse 50 kg con vestiti invernali addosso.
Proprio uscendo dalla stalla, cade e si ritrova a terra. Trauma in sede frontale e alla piramide nasale. Le figlie la accompagnano in Pronto Soccorso.
In anamnesi storia di un pregresso ictus ischemico da cui aveva completamente recuperato in terapia con clopidogrel. Non altre patologie in cronico nè altre terapie.
La interroghiamo sulla caduta: “Sa dottore, mi han ceduto le gambe.. qualche capogiro.. cose di età insomma” minimizza. “No, non ho dolore, non ho niente, mi mandi pure a casa che devo dare da mangiare alle bestie”.
Bene, questi sono i pazienti che ci piacciono.
Parametri vitali: PA 145/80, FC 105 bpm, SO2 98%. Lievemente tachicardica dunque, null’altro.
Al’E.O. modesta escoriazione in sede frontale e alla piramide nasale, lieve dolenzia alla palpazione di tale aree, non deformità ossee, non tumefazioni, non ematomi; obiettività neurologica completamente nella norma; cuore: toni tachicardici, alcune extrasistoli; torace e addome: nella norma. Non dolore alla palpazione delle strutture osteomuscolari della gabbia toracica.
Visto che la storia della caduta non era ben chiara, eseguiamo un ECG che evidenzia tachicardia sinusale (105 bpm) con alcune extra sopraventricolari e facciamo un giro di es ematochimici di base risultati nella norma. Su insistenza della paziente, e con l’immagine del povero cane affamato che la sta aspettando, la dimettiamo.
Torna il giorno dopo tramite 118. Perché tutti prima o poi tornano. Rientra per dispnea. Dispnoica, tachipnoica, utilizzo dei muscoli accessori, deve interrompere il suo racconto per tirare il fiato.
PA 120/80, FC 110 bpm, SO2 85% in aa.
“Ieri no .. non mi mancava il respiro .. o forse un pochetto … ma stamattina… tanto tanto”. Ricordandoti della storia del trauma, palpi gli emicostati, ma la paziente nega dolore, nega anche che il trauma sia stato significativo in tale sede. MV bilaterale.
All’eco torace : regolare fisionomia pleuroparenchimale bilaterale.
Rivaluti la storia di ieri. Presincope. Tachipnea. Tachicardia. Eco torace nella norma.
Ripeti un ECG e fai un’emogasanalisi.
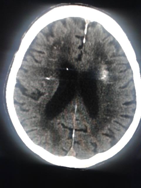
Guardateli in foto.
Direi significativi.
All’ecocardio la diagnosi appare ancora più evidente: Ventricolo destro dilatato, discinetico, con segno di McConnel positivo. Presenza di modesta falda di versamento pericardico. Richiedi un’angioTC torace nel sospetto (direi più che un sospetto – più per caratterizzarla forse) di embolia polmonare.
Ti ricordi del trauma cranico di ieri però. Pertanto richiedi anche una TC capo per poter procedere con sicurezza all’anticoagulazione.
I risultati sono i seguenti: TC torace con MdC: “..si apprezzano difetti di perfusione endoluminale compatibili con materiale embolico che a destra si localizzano a cavaliere a livello della biforcazione dell’arteria polmonare principale e che si estende a livello dei rami segmentari e sub segmentari prevalentemente per il lobo inferiore e a sinistra, di entità minore, interessa a cavaliere la biforcazione del ramo segmentario lobare inferiore….”

TC capo: “..a sinistra, nel contesto di calcificazioni lamellari, si evidenzia area ovalare tenuemente iperdensa e asimmetrica in quadro compatibile con piccolo focolaio emorragico a tale livello..”

E adesso? La ricoveriamo in Area d’Emergenza e Inviamo richiesta per “POSIZIONAMENTO DI FILTRO CAVALE IN PAZIENTE CON EMBOLIA POLMONARE BILATERALE CON CONTROINDICAZIONE ASSOLUTA ALL’ANTICOAGULAZIONE PER COESISTENZA DI EMORRAGIA CEREBRALE”
Dell’embolia polmonare sicuramente sapete già tutto.
E’ la classica domanda che vorremmo trovare in una delle busta quando facciamo un concorso a tempo indeterminato. (A me invece purtroppo mi son capitate le sdr mielodisplastiche…).
Però direi che questo caso può fornirci comunque riflessioni interessanti, divagando un po’ sull’argomento delle embolie polmonari e dintorni.
Innanzitutto vediamo di classificarla.
Fondamentale è per l’approccio prognostico e terapeutico differenziarla in:
– AD ALTO RISCHIO (instabile o massiva): in presenza di shock o ipotensione persistente (PAS < 90 mmHg per un periodo > 15 min)→ prognosi infausta nelle prime due ore con rischio persistentemente elevato per oltre 72 h
– A NON ALTO RISCHIO (stabile o submassiva): in assenza di shock o ipotensione all’ingresso
Nei pazienti a non alto rischio, viene considerata un’ulteriore stratificazione basata sulla presenza/assenza di markers clinici di rischio e sul PESI e s-PESI score.
Cercatevi pure voi questi score (qualche sforzo dovete pur farlo… altrimenti scaricatevi qualche app con cui li potete calcolare immediatamente, io uso QX calculate per android e mi trovo benissimo)
– A RISCHIO INTERMEDIO
* intermedio-alto: senza ipotensione (PAS >90mmHg) con PESI class III-V o sPESI > o = 1 e riscontro positivo di un marker di disfunzione V dx (dilatazione Vdx – sovraccarico pressorio – ipocinesia – aumento BNP) e positività dei markers cardiaci di danno miocardico)
* intermedio-basso : senza ipotensione con PESI class III-V e sPESI > o =1 senza riscontro di disfunzione V dx e di danno miocardico (o solo uno positivo)
– A BASSO RISCHIO: PESI class I-II o sPESI 0 e markers di danno miocardico e di disfuzione V destra negativi
Tornando al nostro caso, il PESI è di 149 punti (classe V), che unita alla presenza di troponina aumentata (0.425 .. non ve lo avevo detto) e disfunzione V destro, fa cadere la nostra paziente nella classe intermedio-alta.
Per tale classe, la terapia trombolitica non è consigliata in modo routinario (quindi va riservata esclusivamente per i paziente ad alto rischio, quindi nei pazienti in shock) , però sono comunque pazienti da monitorizzare in setting di cura intensivo e da considerare la terapia riperfusiva ai primi segni clinici di scompenso emodinamico.
Quindi la nostra paziente è da ricoverare in ambiente intensivo (nel nostro ospedale in area d’emergenza) e avviare terapia anticoagulante. Ma quale terapia dobbiamo scegliere?
Per le EP NON AD ALTO RISCHIO sono preferibili LMWH o FONDAPARINUX (profilo rischio/benefici simili tra le 2 molecole) ai seguenti dosaggi: enoxaparina 10 mg/kg ogni 12 ore; fondaparinux 5 mg/die se peso < 50 kg; 7,5 mg/die se peso tra 50-100 kg; 10 mg/die se peso > 100 kg (contraindicato se ClCr < 30 ml/min; riduzione della dose del 50% se ClCr tra 30 e 50 ml/min); quindi proseguite con TAO o NAO (indicati al momento rivaroxaban, apixaban, dabigatran).
Bene. Avviata la terapia anticoagulante? Nooooooooooooooooo fermi!
Ricordate: la nostra paziente ha anche in concomitanza un’emorragia cerebrale.
Vi raccomando pertanto in tutti i pazienti a cui viene diagnosticata un’embolia polmonare ma con storia all’esordio di presincope/sincope con caduta a terra e, anche solo verosimile, trauma cranico .. fategli una TC capo! Stesso discorso vale per il paziente che trovate a terra incosciente o cosciente confuso, sofferente, con ECG compatibile con STEMI/NSTEMI … fategli una TC capo prima di avviare antiaggregazione spinta e anticoagulazione. Il cervello è sempre il più nobile di tutti in fondo.
Quindi cosa facciamo alla nostra paziente?
Le linee guida suggeriscono per quei pazienti che hanno controindicazioni all’anticoagulazione o hanno un rischio inaccettabilmente elevato di sanguinamento il posizionamento di un filtro cavale piuttosto che la sola osservazione (raccomandazione di grado 2C).
Visto quindi che osservare in modo impotente un’embolia polmonare a rischio intermedio-elevato (e neppure le altre) non è da noi … alziamo la cornetta e richiediamo il posizionamento di un filtro cavale.


Lascia un commento