Metà mattinata di domenica. La città sonnecchiosa ancora dorme. Fuori c’è nebbia, la gente è in casa che si sta vestendo per recarsi in pronto soccorso. Cornelia, vecchiettina di 84 anni, li anticipa tutti. Li frega sul tempo. E si reca in pronto soccorso tramite 118. L’ambiente è ancora semivuoto, il personale si alterna tra il box e la zona cucina per darsi una svegliata. Con la lentezza del bradipo, ti approcci. “Buongiorno signora. Cosa succede?” “Dovevo andare a messa, ma facevo fatica a respirare, ho chiamato mia figlia che vive a Milano che mi ha consigliato di chiamare l’ambulanza per farmi venire a prendere”. “Ha altri sintomi?” Ti guarda perplessa. “Qualche altro problema/disturbo intendo dire?”. “Mah..un po’di tosse … un po di stanchezza…un po di dolore all’emicostato sinistro … poi le gambe … un po la schiena…ogni tanto un po’ di vertigini… poi sento le dita delle mani gonfie …” Già ti penti di averglielo chiesto. Dopo un’altra decina di sintomi si ferma, pensando a quali ha dimenticato. Appena sta per riattaccare, la fermi: “Un attimo signora che la visito”.
In anamnesi: ipertensione arteriosa, episodi occasionali di diverticolite, vene varicose, polimialgia reumatica. Pregressa TVP 30 anni prima in seguito a intervento ortopedico imprecisato
Terapia: ramipril 5 mg, deltacortene 5 mg.
PA 140/80, FC 105 bpm, SO2 90%, TT 37.4 . Lievemente tachipnoica. All’E.O. del torace: MV bilaterale, con minimi crepitii basali a sinistra. Obiettività cardiaca e addominale: nulla da segnalare. Non edemi ne segni di TVP agli arti inferiori.
L’ecografia del torace appare negativa. L’ RX torace anche (fatto con la paziente a letto in unica proiezione in quanto i vari dolori non le permettevano di alzarsi). ECG nella norma. Fai una CUS (perché l’ombra dell’embolia polmonare c’è sempre): negativa. E invii gli es ematochimici di base. Parte però anche un D-Dimero. E quando parte così, quasi casualmente, è sempre un problema. Cioè, in realtà il problema è quando torna. Quando torna positivo. D-Dimero: 5000. Cavolo, però è tanto. Certo … gli indici di flogosi sono aumentati: GB 14.000, PCR 48. Fai un’EGA … non c’è alcalosi, ma c’è ipossia .. PaO2 60 mmHg. Obiettività toracica negativa, eco torace e rx negativo, D-dimero elevato … uff…. Hai una luce. I criteri di Well’s per EP: Score 3. Probabilità moderata. Ecco … non ti aiuta, anzi. (i criteri positivi che nel nostro caso hanno alzato lo score sono la FC > 100 bpm e la storia di pregressa TVP). Basta. La chiedi. Sai che non dovresti … non sei sicuro… ma la chiedi. AngioTC polmonare per escludere embolia polmonare.
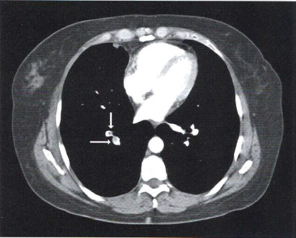
Questo è il referto: “..in riferimento al quesito clinico, si evidenzia singolo difetto di riempimento a carico di ramo sub segmentario del lobo inferiore di destra …. Si segnala inoltre addensamento con broncogramma aereo a carico del lobo inferiore di sinistra in sede posteriore ….”

Ecco spiegato. Febbricola, tosse, ipossiemia, indici di flogosi elevati, terapia cortisonica protratta… la signora ha una polmonite. Effettivamente non ho scandagliato il torace posteriormente … non ne voleva sapere di mettersi seduta … e probabilmente l’unica proiezione AP del torace con mascheramento da parte dell’ombra cardiaca non ci ha permesso di vedere l’addensamento. Ma quel singolo difetto di riempimento sub segmentario? Devo anticoagulare la paziente? Di sicuro non c’entra nulla con il corredo sintomatologico attuale. Quindi la ricovero in medicina e che ci pensi l’internista!
Diagnosi di ricovero: “POLMONITE BASALE POSTERIORE SINISTRA. EMBOLIA POLMONARE SUBSEGMENTARIA (SINGOLO DIFETTO)”
Il problema è che forse tra qualche mese anche io lavorerò in un reparto di medicina (a dire il vero ancora non ne sono certa, diciamo che sto contrattando). E dunque mi pongo la domanda: devo anticoagulare la paziente?
Cominciamo dall’origine del problema. Siamo sempre più propensi a richiede esami TC. Per i più svariati motivi: per le nostre paure, per insicurezza, per spinta del collega, del paziente, dei parenti, perché “non si sa mai” etc. Ognuno ha il suo. Però questo è associato a vari problemi. Lasciamo stare il problema delle radiazioni, in ogni caso importante. Ma diciamo che nel paziente di età avanzata non è questo il principale. Qua poniamo l’attenzione nelle sovra-diagnosi. Vi è infatti negli ultimi anni un’aumentata diagnosi di embolie polmonari incidentali/asintomatiche e di piccole EP sub segmentarie (SSPE). La prevalenza reale di pazienti con SSPE è sconosciuta, e non è ben nota neppure la rilevanza clinica del problema. Verosimilmente l’outcome clinico per pazienti con singolo difetto sub segmentario non è lo stesso di quelli con EP lobare, segmentaria o con multipli difetti sub segmentari. E quindi dobbiamo o no anticoagulare il paziente? La risposta ancora non c’è. Vi è ancora dibattito aperto su tale interrogativo. Alcuni esperti anti coagulano tutti i pazienti con SSPE, altri solo una minoranza. Dati osservazionali suggeriscono che alcuni specialisti scelgono di non coagulare i pazienti con SSPE specialmente se alla TC è stata riscontrata un’eziologia più convincente dei sintomi del paziente. Nel nostro caso, la TC ci ha permesso di diagnosticare la polmonite, perfettamente compatibile con la clinica della sigra Cornelia. Quindi mi fermo qui? Ragioniamoci ancora un attimo su. Dall’analisi di uptodate, traiamo due tipi di indicazioni: trattare le SSPE in modo analogo alle EP sintomatiche o con grossolani difetti lobari, specialmente se la EP è idiopatica e se vi sono fattori di rischio persistenti di tromboembolismo venoso come neoplasia attiva, immobilità prolungata; se i difetti sub segmentari sono multipli; se vi sono sintomi; se la riserva cardiorespiratoria del paziente è limitata. Anche questa indicazione però non è cosi chiara: infatti diversi studi (citiamo ad esempio quello di O’Connel e al), evidenziano che le SSPE di riscontro occasionale, non hanno alcuna influenza sulle condizioni cliniche ne impatto sulla sopravvivenza.
L’altra indicazioni è invece opposta (sempre da consensus di esperti, in quanto come detto non vi sono studi dirimenti in quest’ambito): se il difetto sub segmentario è singolo e non vi è evidenza di tvp prossimale o trombi in altra sede (questo è avvio mi pare) è ragionevole optare per non anticoagulare, specie se il rischio di recidiva è basso. Direi che questo è il caso della nostra paziente quindi siamo sempre più convinti nel non anti coagulare. Se la scelta è questa, viene comunque suggerita la sorveglianza clinica e strumentale (con ecodoppler venoso arti inferiori) nelle successive due settimane per ricercare eventuale comparsa di trombo prossimale. E’ una scelta oculata? Direi di si. Rischi/benefici. Ricordiamoci infatti che il 3% dei pazienti trattati sviluppa un evento di sanguinamento maggiore con necessità di cure mediche (emorragia cerebrale, gastrointestinale, sanguinamento in seguito a traumi).
Ciò che è certo dunque, è che in questi casi non vi è nulla di certo. Quindi usiamo come sempre il buon senso e cuciamo su misura l’abito terapeutico per il paziente che abbiamo davanti.


Lascia un commento