Guardi la lista in attesa sul computer. In realtà non bisognerebbe mai farlo. Quando poi i pazienti in attesa superano la capacità contenitiva dello schermo, sei nei guai. Lo eri in realtà già prima di guardare, ma la consapevolezza porta a un’ansia di prestazione che non aiuta. Quindi mai guardare, meglio affidarsi al sapiente e premuroso infermiere di triage. Oggi lo faccio. Curiosità. Per fortuna non è uno di quei giorni full. Ma un classico 3-4 (che non è uno schema di Delneri, ma intendo 3 codici verdi e 4 codici bianchi). La curiosità prosegue. Vediamo il motivo d’accesso dei codici verdi. Lombalgia. Lombalgia. Lombalgia. Ottimo. E’ passata la strega che ha dato colpi di qua e di là. Prepariamoci a distribuire antidolorifici come caramelle. L’aglio per tenere lontano la strega eventualmente lo forniamo la prossima volta come profilassi.

Avanti il primo.
Maschio di 40 anni che entra lentamente nel box del pronto soccorso tenendosi una mano sulla schiena con smorfie di dolore sul viso. Nulla in anamnesi. Ti racconta che tre giorni fa, dopo una partita di calcetto con gli amici, ha iniziato ad aver dolore in sede lombare, non irradiato, che è peggiorato nei giorni e lo ha costretto a recarsi in pronto soccorso. Salti la domanda di rito sul perché non lo ha costretto a recarsi dal curante. Passi direttamente alla seconda domanda: “Ha preso qualcosa per il dolore?” “No no, dottoressa, preferisco non assumere farmaci”. Categoria: obiettore di farmaci. Proseguiamo. Nega traumi diretti. Lo visiti. Minima dolenzia alla palpazione della regione lombare. Tutto il resto completamente nella norma, incluso l’ esame neurologico, Lasegue, riflessi osteotendinei.
Lo dimetti con diagnosi di “LOMBALGIA” e gli consigli terapia con ibuprofene 600 mg x 3 volte al giorno, evitare di rimanere fermo a letto come uno stoccafisso, e rivalutazione dal curante.
Avanti il secondo.
Maschio di 45 anni. Avanza anche questo lentamente. Si tiene una mano sulla coscia quasi spingendola per avanzare con minor fatica. E’ sempre utile osservare come i pazienti entrano nel box del pronto soccorso. Si siede con fatica. E ti racconta. Da 4 giorni comparsa di lombalgia con irradiazione lungo la superficie laterale dell’arto inferiore sinistro fino al piede. Ha assunto paracetamolo 1 g cp per 3 volte al giorno per 3 giorni e “magnesio naturale” consigliato dal farmacista. Non fatemi commentare. Comunque sia, il beneficio è stato scarsissimo. Riferisce inoltre che tali sintomi li aveva già avuti 2 anni prima, protratti, per cui aveva eseguito RM che evidenziava ernia discale a livello di L5. Non la porta in visione causa perdita durante il trasloco. Nient’altro in anamnesi. Lo visiti.
Dolore alla palpazione della regione lombare. Lasegue positivo a sin. Lieve riduzione della forza alla dorsiflessione del piede sin e all’estensione delle dita. Sensibilità ridotta a livello dell’avampiede sin. Riflessi osteotendinei normoeccitabili. Restante obiettività completamente negativa.
Lo dimetti con diagnosi di “RADICULOPATIA ACUTA LOMBOSACRALE SINISTRA” (evitate il termine “sciatica” per favore) e gli consigli terapia con: naprossene 250 mg x 2 volte al giorno per almeno 10 giorni, oxicodone/naloxone 10/5 x 2 volte al die per 10 giorni e quindi rivalutazione dal curante.
Avanti il prossimo.
Maschio di 55 anni. Entra seduto su una carrozzina spinto da un OSS. Con fatica, insieme all’OSS, lo aiuti a stendersi sulla barella. E’ pallidino, sudaticcio, sofferente. Da 7 giorni dolore lombare ingravescente irradiato a entrambi gli arti. In anamnesi DM tipo 1 in terapia insulinica. 15 giorni prima aveva effettuato un ciclo di cortisone per una faringite.
“Oltre al mal di schiena” gli chiedi “ha avuto altri sintomi?” ci pensa. “No, no”. Ci ripensa. “Beh..a dire il vero.. non mi sentivo benissimo… un po’ di stanchezza, malessere, qualche brivido.. si insomma… malesseri di stagione penso”. “Altri disturbi?” ci pensa. “No, no” Ci ripensa. “ Beh.. da ieri non urino. E poi sa i giorni scorsi… con mia moglie…”. Attendi. Attendi. Ma non va avanti. “Con sua moglie…avete litigato?” “No..no ..ecco quello…quello..non va bene…da qualche giorno…” Ah. Ok. Capito.
Parametri vitali: PA 150/90 mmHg, FC 95 bpm, SO2 97% in aa; TT 38.3 stick glicemico 320 mg/dl.
Lo visiti: Cuore-torace-addome: regolare, eccetto algie in ipogastrio dove all’ecografia confermi la presenza di globo vescicale. Vivo dolore alla palpazione delle apofisi de rachide lombare e in regione paravertebrale. Moderato deficit di forza e di sensibilità bilaterale simmetrico agli arti inferiori. ROT agli arti inferiori.
Cateterizzi. Ristagno di 1000 cc di urine limpide. Stick urine: negativo
Invii gli es. ematochimici. GB 18.000. PCR 115 mg/dl.
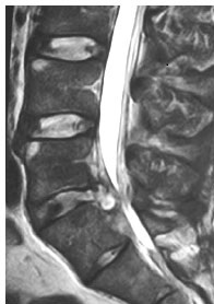
Bene. Anamnesi, clinica, obiettività non fanno stare tranquilli. Chiederei una RM ma nel nostro ospedale c’è solo un giorno/settimana e fuori sede. Chiedo dunque una TC rachide toraco-lombo-sacrale che conferma il sospetto: trasferisco quindi il paziente in ospedale di riferimento (dotato di servizio di chirurgia spinale e infettivologia) con diagnosi di :
“ASCESSO SPINALE EPIDURALE A LIVELLO L3-S1”

Tre pazienti diversi. Stesso sintomo. Diagnosi diverse con gravità, prognosi e terapia molto diversa.
E’ difficile trovare diverse lombalgie acute (definite come di durata < 4 settimane) in un solo giorno in pronto soccorso? Assolutamente no. L’84% degli adulti presentano lombalgia almeno una volta nella loro vita. E oltre l’85% dei pazienti che si reca da un medico per lombalgia, ha una “lombalgia aspecifica”, come il nostro primo paziente, nel senso che la lombalgia non è associata a condizioni sottostanti identificabili. Generalmente è un dolore di origine muscolo-scheletrico, con prognosi ottima, che migliora in poche settimane.
Ma il nostro arduo compito è ricercare le lombalgie con eziologie sistemiche severe. Anche se la loro percentuale è bassa (<1% per quelle gravi), dobbiamo pensarci e ricercarle. Ma non per questo possiamo chiedere esami radiologici a tutti. Tantomeno risonanze.
Vediamo quindi come ci aiutano in tal senso le linee guida.
Le eziologie sistemiche severe (<1%) comprendono: sdr della cauda equina, cancro metastatico, infezione spinale. Altre cause specifiche meno severe (circa 10%) includono: frattura vertebrale con compressione midollare, radiculopatia (principalmente da ernie discali o spondilosi), stenosi spinale. Poi consideriamo spondilite anchilosante, osteoartite etc.
Quindi pensiamo all’acronimo ICI come cause da tenere presenti: Infettiva – Cancro – Infiammatoria.
Chiedere immediatamente indagini radiologiche aiuta?
In ben pochi casi.
Una review sistematica del 2009 e una metanalisi di 6 trials che comparavano indagini radiologiche immediate (RM o TC o RX) in pazienti con lombalgia acuta senza segni o sintomi nè di infezione nè di cancro, non trovarono differenze significative negli outcomes sia a breve termine che a lungo termine. Quindi non è indicato chiedere tali indagini precocemente perché non solo non migliorano la prognosi, ma rischiano anche di trovare reperti di incerto significato che mettono poi in imbarazzo il medico e infuenzano negativamente la vita del paziente (fissurazioni anulari, Schmorl’s nodes..)
Quando chiedere allora subito delle indagini e quali?

Quando abbiamo le seguenti campanelle d’allarme (red flags):
– Deficit neurologici ingravescenti e/o progressivi (vescica neurologica, incontinenza sfinteriale, anestesia a sella, deficit motori significativi non localizzati a singolo metamero)-> RM
– Segni/sintomi di infezione spinale (se sospetto clinico è alto: RM es. recente procedura spinale, utilizzo droghe ev, con febbre e lombalgia localizzata; se sospetto è basso: RX+proteina C reattiva)
– Cancro o fattori di rischio per cancro
– Sospetta frattura vertebrale: RX
– Trauma recente

Per tutti gli altri pazienti pertanto, non chiediamo nessuna immagine radiologica, ma li trattiamo con terapia conservativa per almeno 4-6 settimane se necessario e quindi saranno rivalutati.
Come li trattiamo?
Le indicazioni per le lombalgie acute aspecifiche (cioè la stragrande maggioranza) sono:
– Evitare il riposo a letto (rallenta il recupero e causa più dolore), ma riprendere le attività quotidiane il prima possibile, per quanto tollerato
– Terapia farmacologica iniziale:
FANS: BRUFEN 400-600 mg per 4 volte al giorno o NAPROSSENE (250-500 mg per 2 volte al giorno)
Se fans non tollerati/controindicati: PARACETAMOLO 1 G CP x 3 volte/die
Se terapia insufficiente, associare miorilassante:
CICLOBENZAPRINA 10-30 mg/die
Se ancora insufficiente, considerare oppiodi o tramadolo.
In questo contesto, non vi è alcuna evidenza di utilizzo dei glucocorticoidi.
E nella radiculopatia lombosacrale del nostro secondo paziente qual è la terapia indicata?
Rimane invariata l’indicazione come utilizzo di terapia di prima linea dei FANS (paracetamolo nel caso di intolleranza/controindicazione ai FANS).
Là dove tale terapia non è sufficiente, indicato l’utilizzo di oppioidi o tramadolo.
A differenza della lombalgia aspecifica, in questo caso non vi è indicazione all’utilizzo di miorilassanti (ciò è abbastanza logico se pensiamo che all’eziologia della radiculopatia, ovvero la compressione delle radici nervose).
E il cortisone?
Argomento spinoso. Ammettiamolo che spesso lo consigliamo. Anzi, qualcuno lo consiglia sempre. In realtà le evidenza scientifiche non supportano questo tipo di comportamento. Linee guida pratiche del 2007 dell’American Pain Society e the American College of Physicians, in base alle revisione di 4 trials numericamente limitati, concludono che i glucocorticoidi sono inefficaci per le lombalgie con sintomi di radiculopatia; una metanalisi del 2012, sempre basata su 3 trials limitati, evidenzia che il beneficio è modesto e si evidenzia solo dopo le prime 2 settimane di terapia; altri trial riscontrano benefici sempre modesti e al limite della significatività statistica.
Diciamo, che se proprio con le precedenti terapie il beneficio è scarso o nullo, forse un po’ di cortisone possiamo considerarlo in pazienti che non sono a rischio particolari degli effetti collaterali (diabetici in particolari). Un dubbio modesto beneficio forse è meglio di nessun beneficio.
Ora terminiamo con alcune considerazioni sull’ascesso spinale epidurale. E’ una patologia piuttosto rara, ma è fondamentale pensarci perché una diagnosi precoce può salvare la vita del paziente. Importante fattore di rischio è il posizionamento di un catetere epidurale, oltre che l’iniezione paraspinale di glucocorticoidi o analgesici. Altri fattori di rischio includono: Diabete, alcolismo, HIV, trauma, batteriemia, droghe ev, emodialisi.
La classica triade consiste in:
febbre+dolore spinale+deficit neurologici.
Fondamentale è l’avvio precoce di terapia antibiotica empirica; un’appropriato regime empirico parenterale è il seguente:
VANCOMICINA 30-60 mg/kg ev al giorno diviso in 2 dosi aggiustato per la funzione renale [per copertura empirica MRSA]
+
CEFOTAXIME (2 g ev ogni 6 ore) o CEFTRIAXONE (2 g ev ogni 12 ore) o CEFEPIME (2 g ev ogni 8 ore) o CEFTAZIDIME (2 g ev ogni 8 ore)
[cefepime o ceftazidime preferibili quando vi è rischio di infezione da Pseudom. Aeruginosa)
Fondamentale è inoltre la decompressione chirurgica precoce e il drenaggio dell’ascesso.
Qua concludo questa riflessione sulla lombalgia acuta.
Quindi pensiamo sempre al peggio, escludiamolo in base a dati semplici (clinica,anamnesi e laboratorio), limitiamo le indagini radiologiche immediate a pochi casi selezionati (red flags) , niente cortisone per le lombalgie aspecifiche, e basta cortisone a tutte le radiculopatie acute (solo se proprio non sapete dove sbattere la testa).


Lascia un commento